Liver biopsy findings may include variable degrees of steatosis, inflammation, and fibrosis.
In one case we have seen, the patient presented with unexplained ascites and features suggestive of Budd-Chiari syndrome. The serum ascites albumin gradient was 2.3 with a total protein of 0.8 g/dL, and albumin 0.5 g/dL, with an ascitic WBC count of 88/mm3.
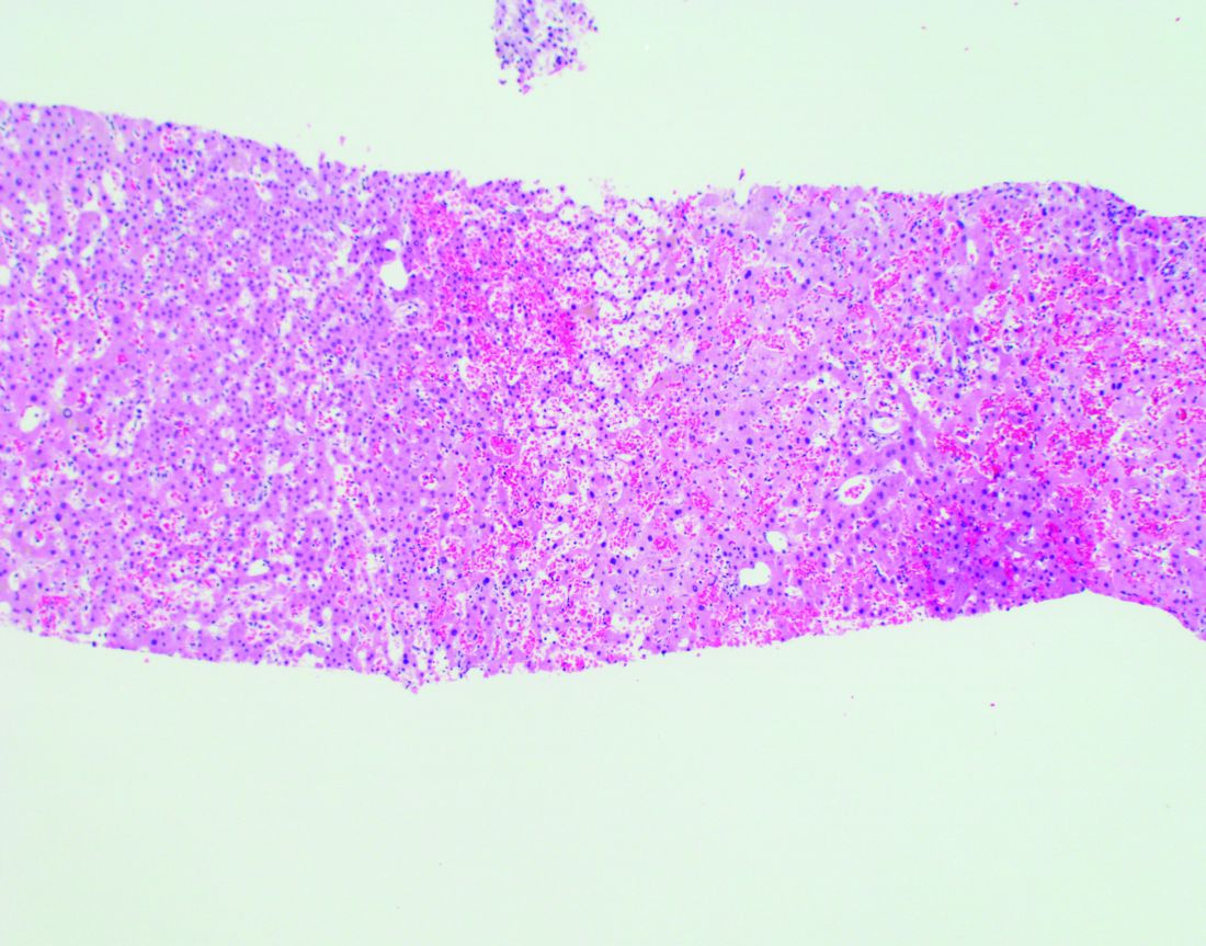
Echocardiography showed an ejection fraction of 80%. Transjugular liver biopsy revealed a normal hepatic venous pressure gradient but marked sinusoidal dilatation and congestion with hepatocyte atrophy and focal necrosis suggestive of vascular outlet obstruction (Figure 1).
Hepatic venography, however, showed no evidence of Budd-Chiari syndrome. When seen in consultation, pertinent observations included Irish ancestry, a history of occasional diarrhea, short stature, osteoporosis, and an atrophic spleen on computed tomography. An IgA transglutaminase antibody was positive, and a small-bowel biopsy confirmed celiac disease (Figure 2).
On a gluten-free diet, the patient’s symptoms resolved, with clinical and laboratory abnormalities returning to normal. She lived another 20 years before dying of primary pulmonary hypertension. Recognition of an unusual hepatic manifestation of celiac disease led to effective management.
Dr. Friedman is the Anton R. Fried, MD, Chair of the department of medicine at Newton-Wellesley Hospital in Newton, Mass., and assistant chief of medicine at Massachusetts General Hospital, and a professor of medicine at Harvard Medical School and Tufts University School of Medicine, all in Boston. Dr. Martin is chief of the division of digestive health and liver diseases at the Miller School of Medicine, University of Miami, where he is the Mandel Chair of Gastroenterology. The authors disclose no conflicts.
Previously published in Gastro Hep Advances. 2023. doi: 10.1016/j.gastha.2023.03.018.
Summary content
7 Key Takeaways
-
1
Developed a paper-based colorimetric sensor array for chemical threat detection.
-
2
Can detect 12 chemical agents, including industrial toxins.
-
3
Production cost is under 20 cents per chip.
-
4
Utilizes dye-loaded silica particles on self-adhesive paper.
-
5
Provides rapid, simultaneous identification through image analysis.
-
6
Inspired by the mammalian olfactory system for pattern recognition.
-
7
Future developments include a machine learning-enabled reader device.
The guidelines emphasize four-hour gastric emptying studies over two-hour testing. How do you see this affecting diagnostic workflows in practice?
Dr. Staller: Moving to a four-hour solid-meal scintigraphy will actually simplify decision-making. The two-hour reads miss a meaningful proportion of delayed emptying; standardizing on four hours reduces false negatives and the “maybe gastroparesis” purgatory that leads to repeat testing. Practically, it means closer coordination with nuclear medicine (longer slots, consistent standardized meal), updating order sets to default to a four-hour protocol, and educating front-line teams so patients arrive appropriately prepped. The payoff is fewer equivocal studies and more confident treatment plans.
Metoclopramide and erythromycin are the only agents conditionally recommended for initial therapy. How does this align with what is being currently prescribed?
Dr. Staller: This largely mirrors real-world practice. Metoclopramide remains the only FDA-approved prokinetic for gastroparesis, and short “pulsed” erythromycin courses are familiar to many of us—recognizing tachyphylaxis limits durability. Our recommendation is “conditional” because the underlying evidence is modest and patient responses are heterogeneous, but it formalizes what many clinicians already do: start with metoclopramide (lowest effective dose, limited duration, counsel on neurologic adverse effects) and reserve erythromycin for targeted use (exacerbations, bridging).
Several agents, including domperidone and prucalopride, received recommendations against first-line use. How will that influence discussions with patients who ask about these therapies?
Dr. Staller: Two points I share with patients: evidence and access/safety. For domperidone, the data quality is mixed, and US access is through an FDA IND mechanism; you’re committing patients to EKG monitoring and a non-trivial administrative lift. For prucalopride, the gastroparesis-specific evidence isn’t strong enough yet to justify first-line use. So, our stance is not “never,” it’s just “not first.” If someone fails or cannot tolerate initial therapy, we can revisit these options through shared decision-making, setting expectations about benefit, monitoring, and off-label use. The guideline language helps clinicians have a transparent, evidence-based conversation at the first visit.
The guidelines suggest reserving procedures like G-POEM and gastric electrical stimulation for refractory cases. In your practice, how do you decide when a patient is “refractory” to medical therapy?
Dr. Staller: I define “refractory” with three anchors.
1. Adequate trials of foundational care: dietary optimization and glycemic control; an antiemetic; and at least one prokinetic at appropriate dose/duration (with intolerance documented if stopped early).
2. Persistent, function-limiting symptoms: ongoing nausea/vomiting, weight loss, dehydration, ER visits/hospitalizations, or malnutrition despite the above—ideally tracked with a validated instrument (e.g., GCSI) plus nutritional metrics.
3. Objective correlation: delayed emptying on a standardized 4-hour solid-meal study that aligns with the clinical picture (and medications that slow emptying addressed).
At that point, referral to a center with procedural expertise for G-POEM or consideration of gastric electrical stimulation becomes appropriate, with multidisciplinary evaluation (GI, nutrition, psychology, and, when needed, surgery).
What role do you see dietary modification and glycemic control playing alongside pharmacologic therapy in light of these recommendations?
Dr. Staller: They’re the bedrock. A small-particle, lower-fat, calorie-dense diet—often leaning on nutrient-rich liquids—can meaningfully reduce symptom burden. Partnering with dietitians early pays dividends. For diabetes, tighter glycemic control can improve gastric emptying and symptoms; I explicitly review medications that can slow emptying (e.g., opioids; consider timing/necessity of GLP-1 receptor agonists) and encourage continuous glucose monitor-informed adjustments. Pharmacotherapy sits on top of those pillars; without them, medications will likely underperform.
The guideline notes “considerable unmet need” in gastroparesis treatment. Where do you think future therapies or research are most urgently needed?
Dr. Staller: I see three major areas.
1. Truly durable prokinetics: agents that improve emptying and symptoms over months, with better safety than legacy options (e.g., next-gen motilin/ghrelin agonists, better-studied 5-HT4 strategies).
2. Endotyping and biomarkers: we need to stop treating all gastroparesis as one disease. Clinical, physiologic, and microbiome/omic signatures that predict who benefits from which therapy (drug vs G-POEM vs GES) would transform care.
3. Patient-centered trials: larger, longer RCTs that prioritize validated symptom and quality-of-life outcomes, include nutritional endpoints, and reflect real-world medication confounders.
Our guideline intentionally highlights these gaps to hopefully catalyze better trials and smarter referral pathways.
Dr. Staller is with the Division of Gastroenterology, Massachusetts General Hospital and Harvard Medical School, Boston.



